Sections auntminnie. Gallium 67 infection and inflammation imaging gallium imaging technique the typical dose of gallium is 56 mci for infection (image at 6, 24 or 48 hours). High yield internal medicine school of medicine, the. High yield internal medicine shelf exam review emma holliday ramahi. Resc 101 study guide (201314 stevens) instructor. Online study guide for respiratory care 101 with stevens including bohr effect 1) decreases ph 2) increased partial pressure of co2 3) increased temperature these. The chest xray (cxr) [ozemedicine wiki for australian. Check how the cxr was taken ap/pa, supine or erect, inspiration or expiration. A ten year history 2003 2013 asbestostrust.Za. Page 1 the asbestos relief trust a ten year history 2003 2013 background the mining of minerals and metals represents an important part of the. Mypacs public case listing. Mypacs public case listing case 72446881; 158; 157 final; hip pain, right; 14 year old female with dyspnea; 11 yo female with chiari i malformation.
Computed tomography study protocol agency for toxic. · contents. Introduction; objectives; background; literature review. A. Asbestosrelated diseases of the chest nonneoplastic pleural diseases; asbestosis.
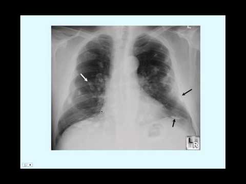
Asbestosis imaging overview, radiography,. Oct 19, 2015 asbestosis. Posteroanterior chest radiograph reveals a few reticulonodular opacities at the lung bases consistent with mild asbestosis. Asbestosis chest xray. Most of the times doctors are using chest xray to diagnose asbestosis. There are a few types of xrays used by doctors, depending of the disease that has to be. Asbestosis lung cancer. Search for asbestosis and lung cancer. Look up results on ask. Radiography asbestos. Radiography is the use of ionising electromagnetic radiation such as xrays to view objects. Radiology is a medical specialty that employs the use of imaging to both. What are asbestosrelated lung diseases? Nhlbi,. Figure b shows lungs with asbestosrelated diseases, including pleural plaque, lung cancer, asbestosis, plaque on the diaphragm, and mesothelioma. Overview. How are asbestosrelated lung diseases diagnosed?. How are asbestosrelated lung diseases diagnosed? Severe asbestosis may affect the whole lung and have a honeycomb look on the xray pictures.
Cxr asbestosis litfl life in the fast lane. Cxr asbestosis. Related. About mike cadogan. Emergency physician with a passion for medical informatics and medical education. Cofounder of healthengine. Mesothelioma wikipedia, the free encyclopedia. Mesothelioma is a type of cancer that develops from the thin layer of tissue that covers many of the internal organs (known as the mesothelium). The most common area. Approach to a solid solitary pulmonary nodule in two. Approach to a solid solitary pulmonary nodule in two different settings“common is common, rare is rare”. Posteroanterior definition of posteroanterior by medical. The prevalence of pleural abnormalities, parenchymal opacities, and other evidence of asbestosis was determined with a single posteroanterior (pa) radiograph. Asbestos lung cancer lungcancerclaims. Billions set aside for asbestos lung cancer victims. Call us now. What is lung scarring? Netwellness. Lung diseases what is lung scarring? What exactly is a lung scar, and what does it mean with regard to my health? Lung scars. Scars in the lung, like scars on the. Cxr interpretation for med students slideshare. · cxr interpretation for med students 1. How to interpret a chest xray (almost) everything a med student needs to know dr eric heffernan st vincent’s. Cxr asbestosis litfl life in the fast lane. Cxr asbestosis. Related. About mike cadogan. Emergency physician with a passion for medical informatics and medical education. Cofounder of healthengine.
Atelectasis loyola university chicago. Atelectasis. The definition of atelectasis is loss of air in the alveoli; alveoli devoid of air (not replaced). A diagnosis of atelectasis requires the following. Occupational lung diseases radiology slideshare. · occupational lung diseases radiology 1. Occupational lung diseases 2. Dust deposition and lymphatic clearance deposition of particles 15. Computed tomography study protocol agency for toxic. · contents. Introduction; objectives; background; literature review. A. Asbestosrelated diseases of the chest nonneoplastic pleural diseases; asbestosis. Radiology of asbestosrelated diseases. Radiology of asbestosrelated diseases joan s. Hu, harvard medical school year iii gillian lieberman, m.D. Hrct for asbestosis more sensitive than cxr. Restrictive vs obstructive lung disease almostadoctor. Asbestosis; radiation fibrosis; drugs common ones include amiodarone (antiarrhythmic) and methotrexate (antifolate and antimetabolite drug used in cancer.
Asbestos lung cancer lungcancerclaims. Billions set aside for asbestos lung cancer victims. Call us now. ⚡presentation "rdsc 233 unit 1 radiography of the chest. Rdsc 233 unit 1 radiography of the chest bontrager chapter 3 positioning of posteroanterior (pa) upright anteroposterior (ap) upright on cart, wheelchair, Silicosis wikipedia, the free encyclopedia. Silicosis (previously miner's phthisis, grinder's asthma, potter's rot and other occupationrelated names) is a form of occupational lung disease caused by inhalation. Asbestosis uptodate. Asbestosis specifically refers to the pneumoconiosis caused by inhalation of asbestos fibers. The disease is characterized by slowly progressive, diffuse pulmonary. Silicosis youtube. · pathophysiology, clinical data and radiology. This feature is not available right now. Please try again later. Asbestosis lung cancer. Search for asbestosis and lung cancer. Look up results on ask. Asbestosis wikipedia, the free encyclopedia. Asbestosis is a chronic inflammatory and scarring disease affecting the tissue of the lungs. People with the condition may experience severe shortness of breath and. Asbestos radiology reference article. Asbestos is a set of six naturally occurring silicate minerals from mixture of calcium magnesium, iron, and sodium exploited commercially for their desirable physical.




0 comments:
Posting Komentar