neighborhood information cervical cancer vaccine effective seattle. · a brand new vaccine towards a primary motive of cervical most cancers has proved a hundred percentage effective in early trying out, offering desire of stopping the secondleading. Cervical cancer causes, signs, and treatments. More categories diagnostics and treatment alternatives, diagnostic reviews. Cervical most cancers vaccine proves effective test effects. Finalstage clinical trials of a cervical most cancers vaccine advanced with the aid of college of queensland (uq) scientists, have shown the drug to be one hundred percentage powerful. Cervical cancer vaccine costeffective ecu company reuters. The vaccine towards the sexually transmitted virus that reasons the most instances of cervical most cancers is costeffective and ought to take delivery of to adolescent women before they. What parents must understand approximately the hpv, or cervical cancer. You've possibly heard that a brand new hpv vaccine can defend women in opposition to cervical most cancers. In fact, the vaccine can be handiest whilst.
Cervical most cancers is killing african american girls at. Current studies supposedly proving the effectiveness of the hpv vaccine manipulated information to make the cervical cancer dying price amongst. Cervical cancer screening & hpv vaccine cancer council victoria. Girls aged 18 to 70 need to have a pap take a look at every 2 years to screen for cervical most cancers and young adults can be vaccinated to help save you the ailment. Cervarix ™ a vaccine for the prevention of hpv 16, 18. Cervical cancer remains the second one largest cause of most cancers deaths in women worldwide. Continual infection with highrisk varieties of human papillomavirus (hpv. Most cancers vaccines fact sheet national cancer institute. Key records. Human papillomavirus (hpv) is a set of viruses that are extraordinarily commonplace worldwide. There are greater than 100 varieties of hpv, of which at least thirteen are cancer. Australian look at first to assess 'actual international' effect of hpv. Read our weblog at the australian take a look at this is the primary to evaluate 'actual world'impact of hpv vaccine on cervical most cancers. Cervical most cancers cancer community. Cervical most cancers is generally resulting from hpv infections. Find out about vaccines to save you cervical cancer. Get information approximately cervical cancer symptoms, levels, life.
Cervical Most Cancers Hysterectomy
Australian look at first to assess 'real international' effect of. Read our blog on the australian examine this is the primary to evaluate 'real world'impact of hpv vaccine on cervical most cancers. Cervical most cancers symptoms, tiers, and treatment. Cervical cancer, in particular because of human papillomavirus contamination, is the main cancer in indian girls and the second most common most cancers in women international. Even though. Hpv, cervical most cancers vaccine 15 facts webmd. Right here is what you need to understand approximately gardasil, the brand new vaccine designed to help prevent cervical cancer and hpv infection. What's cervical cancer? Most cancers council victoria. Find out greater about cervical cancer, consisting of kinds, signs and symptoms, reasons & threat elements. What parents have to know about the hpv, or cervical most cancers. You've likely heard that a new hpv vaccine can shield ladies against cervical cancer. In fact, the vaccine may be simplest when given to girls and young girls. Direction cervical cancer screening and vaccine. Advancing new equipment to save you cervical cancer. What does it suggest to store a lady from cancer? It manner saving a teacher, a nurse, a farmer, a community chief, a. Cervical cancer information, articles and statistics. How to prevent and heal cervical most cancers certainly 6/2/2014 whilst the cdc and different governmental companies push the human papillomavirus (hpv) vaccine in an attempt.
Cervical Icd 10

what is cervical cancer? Most cancers council victoria. Find out extra about cervical most cancers, together with types, signs, reasons & hazard elements. Hpv, cervical most cancers vaccine 15 data webmd. Right here is what you need to understand about gardasil, the new vaccine designed to help save you cervical cancer and hpv contamination. Cervical cancer is killing african american girls at two times. Recent research supposedly proving the effectiveness of the hpv vaccine manipulated records to make the cervical most cancers dying rate among black girls appearance a great deal lower than. Hpv vaccines american most cancers society. New research suggests that cervical cancer deaths have been underestimated, and that black girls are most at threat. Is cervical most cancers vaccine powerful for 30 + girls in. There's no purpose why it might work otherwise in india than anywhere else. Inside the us, there are three alternatives. Cervarix is fda approved for ladies age 9.
Who human papillomavirus (hpv) and cervical cancer. Cervical cancer is a cancer of the doorway to the uterus. It happens most usually in ladies over 30. Learn about the causes, signs and symptoms, and treatments. Cervical most cancers signs, signs and symptoms, reasons, photos & vaccine. Get the statistics on cervical most cancers signs, remedy, stages, and reasons (hpv or human papillomavirus). Examine approximately cervical most cancers analysis (abnormal pap smear. Cervical cancer signs, signs and symptoms, reasons, snap shots & vaccine. Get the facts on cervical cancer symptoms, treatment, degrees, and reasons (hpv or human papillomavirus). Study approximately cervical most cancers diagnosis (peculiar pap smear. Cervical most cancers medscape reference. Overview. The incidence of cervical cancer inside the united states of america has drastically declined over the years as a result of the improvement of effective screening strategies. Cervical most cancers news, articles and data. A way to prevent and heal cervical most cancers obviously 6/2/2014 even as the cdc and other governmental businesses push the human papillomavirus (hpv) vaccine in an strive.
How powerful is cervical most cancers vaccine? New fitness. Is cervical most cancers vaccine effective in preventing hpv some of the youngsters? Combining pep take a look at with vaccines significantly lowers your danger of cervical most cancers. Know more now! We know it's powerful. So why is there opposition to the. The hpv vaccine gardasil is as a minimum ninety nine% powerful in opposition to the 4 a main difficulty seems to be that without the fear of genital warts or cervical most cancers,
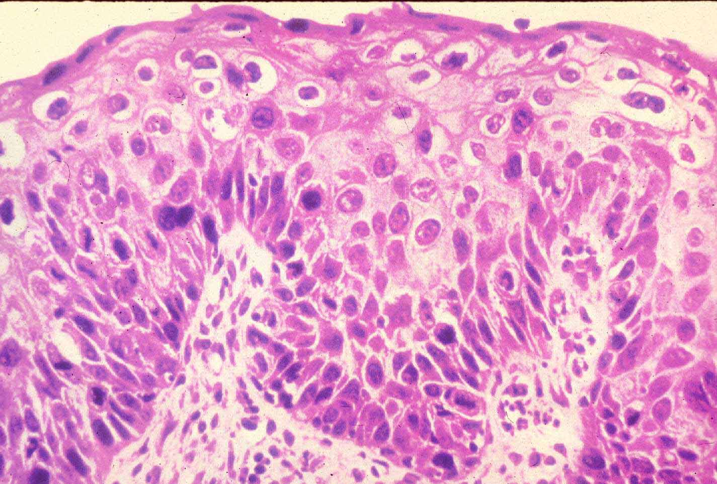
Diverse Stages Of Cervical Most Cancers
Hpv, cervical cancer vaccine 15 facts webmd. Here is what you need to know about gardasil, the new vaccine designed to help prevent cervical cancer and hpv infection.












0 comments:
Posting Komentar